一个不寻常的病例:心脏上的绣花针
注:本文整理自欧洲心脏杂志(EHJ)近期发表的一篇文章,原文作者来自四川大学华西医院。
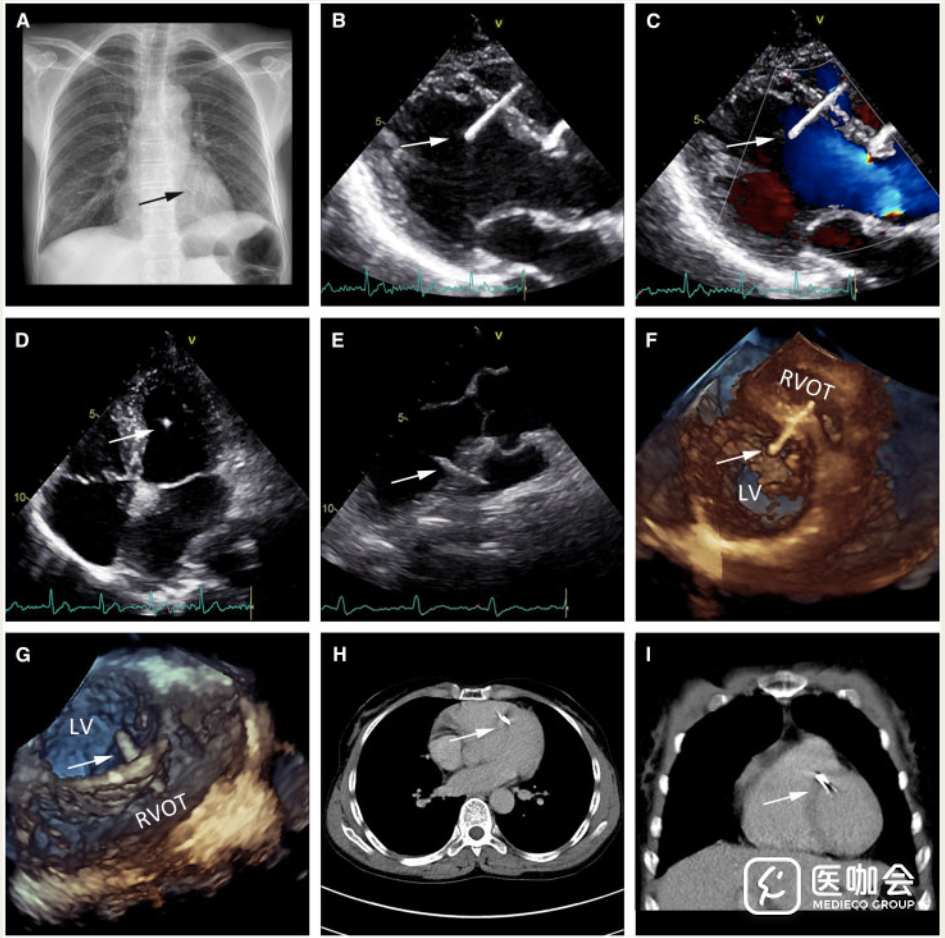
患者,女,55岁,因阵发性右上腹痛就诊,被诊断为胆结石。术前胸片显示心脏有致密条状阴影(下图A)。经胸和食管超声心动图证实致密条状阴影是异物(27毫米长),从右上到左下穿透室间隔,无室间分流。非增强CT显示在右心室和左心室以及室间隔(下图H和I)有异物。
经过沟通后获悉,患者有把绣花针别在左胸前衣服上的习惯。17年前,她被自己养的一头成年猪撞到,衣服上的绣花针不见了。患者只是有过短暂的胸痛,就没有去医院做进一步的检查。
医生推测绣花针从右心室流出道斜穿至室间隔前部,部分进入左心室。目前不需要手术去除,因为针头已经内皮化,并没有造成心脏的结构性损伤。需要定期进行超声心动图检查,以确保该异物不会对患者造成进一步的心脏损伤。
参考文献:A foreign body piercing the heart,European Heart Journal,23 December 2019
注:本文整理自欧洲心脏杂志(EHJ)近期发表的一篇文章,原文作者来自四川大学华西医院。
患者,女,55岁,因阵发性右上腹痛就诊,被诊断为胆结石。术前胸片显示心脏有致密条状阴影(下图A)。经胸和食管超声心动图证实致密条状阴影是异物(27毫米长),从右上到左下穿透室间隔,无室间分流。非增强CT显示在右心室和左心室以及室间隔(下图H和I)有异物。
经过沟通后获悉,患者有把绣花针别在左胸前衣服上的习惯。17年前,她被自己养的一头成年猪撞到,衣服上的绣花针不见了。患者只是有过短暂的胸痛,就没有去医院做进一步的检查。
医生推测绣花针从右心室流出道斜穿至室间隔前部,部分进入左心室。目前不需要手术去除,因为针头已经内皮化,并没有造成心脏的结构性损伤。需要定期进行超声心动图检查,以确保该异物不会对患者造成进一步的心脏损伤。
参考文献:A foreign body piercing the heart,European Heart Journal,23 December 2019
扫码关注“医咖会”公众号,及时获取最新重磅研究!

