Lancet:武汉新型冠状病毒感染病人的临床特征
作者: Siyu
2020年1月24日, Lancet发表了关于新型冠状病毒的系列专题,共包括5篇文章,其中article有2篇,一篇是关于武汉新型冠状病毒感染病人的临床特征,另一篇是关于家族性聚集发病的报道(一个家族6位病人的流行病学、临床、实验室、影像学和微生物学结果);另外3篇是comments和editorial,题目大意是:“新型冠状病毒带来的全球卫生关注”、“数据分享与疾病爆发:最好的实践”、“对2019新型冠状病毒深入了解”。
专题链接:
https://www.thelancet.com/coronavirus
本篇文章选取其中一篇,武汉新型冠状病毒感染病人临床特征,翻译重要图表,供大家参考。
文章原题为Clinical features of patients infected with 2019 novel coronavirus in Wuhan, China. 通讯作者为中日友好医院的曹彬教授以及北京协和医学院的王建伟教授。
文章的方法为,搜集在武汉被指定医院所收治的所有疑似新型冠状病毒病人的信息。具体为,前瞻性搜集病人临床信息,应用实时RT-PCR和二代测序在实验室确认。截止到2020年1月2号,有41例经实验室确认感染新型冠状病毒。
作者: Siyu
2020年1月24日, Lancet发表了关于新型冠状病毒的系列专题,共包括5篇文章,其中article有2篇,一篇是关于武汉新型冠状病毒感染病人的临床特征,另一篇是关于家族性聚集发病的报道(一个家族6位病人的流行病学、临床、实验室、影像学和微生物学结果);另外3篇是comments和editorial,题目大意是:“新型冠状病毒带来的全球卫生关注”、“数据分享与疾病爆发:最好的实践”、“对2019新型冠状病毒深入了解”。
专题链接:
https://www.thelancet.com/coronavirus
本篇文章选取其中一篇,武汉新型冠状病毒感染病人临床特征,翻译重要图表,供大家参考。
文章原题为Clinical features of patients infected with 2019 novel coronavirus in Wuhan, China. 通讯作者为中日友好医院的曹彬教授以及北京协和医学院的王建伟教授。
文章的方法为,搜集在武汉被指定医院所收治的所有疑似新型冠状病毒病人的信息。具体为,前瞻性搜集病人临床信息,应用实时RT-PCR和二代测序在实验室确认。截止到2020年1月2号,有41例经实验室确认感染新型冠状病毒。
下图1为疾病始发的时间和病人的分布(经实验室确认为新型冠状病毒感染的病人)。A图可看到病人的年龄分布,蓝色柱状表示普通照护的病人数量,红色柱状表示ICU照护病人的数量。B图列出了1月2号前每日病例,红色部分表示华南海鲜市场有接触史的病例。
下表1展示了感染新型冠状病毒病人的人口学特征和基线特征。总数41人,亚组分别是ICU治疗和非ICU治疗。列出了各种特征的绝对数量和所占比例。可以看到发烧的比例至少96%。
下图2展示了新型冠状病毒病人发病的时间线,从发病、入院、一些重要症状的发生、到收治于ICU的中位天数。
下表2主要展示了收治于医院的新型冠状病毒病人的实验室检测结果。
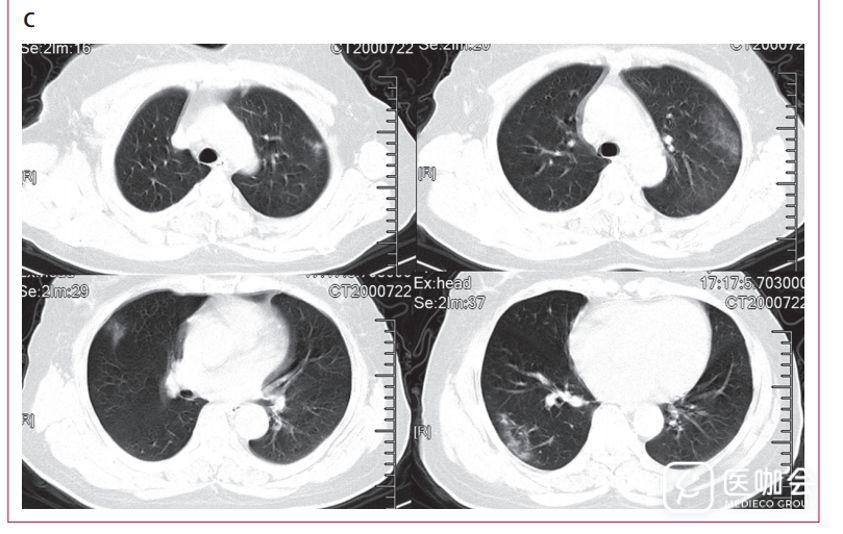
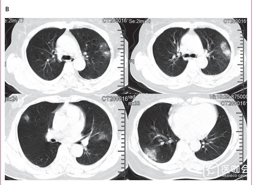
下图3是胸部CT的结果,分为ABC三张图。
A是在症状开始15天时,一位年龄40岁男性胸部横面CT显示双侧多小叶及亚段实变区。
B是在症状开始8天时,一位年龄53岁的女性胸部横面CT显示双侧磨玻璃状样变和亚段实变区。
C是在症状开始12天时,一位年龄53岁的女性胸部横面CT显示双侧磨玻璃状样变。
下表3展示了感染新型冠状病毒的病人接受的治疗情况和治疗的效果。
希望本文能给临床医生和关注该疾病的读者提供一些信息。
Lancet上发表的题为A novel coronavirus outbreak of global health concern(“新型冠状病毒带来的全球卫生关注”,作者为王辰院士及高福院士等专家)的评论文章中,将新型冠状病毒、中东呼吸综合征病毒和SARS病毒进行了比较,我们也放上图表,供大家参考。
另外,Lancet发表名为Emerging understandings of 2019-nCoV(“对2019新型冠状病毒深入了解”)的编者按,报道称,WHO的总干事Tedros博士赞扬中国的透明、数据公开和迅速反应。文章进一步倡议,公开和数据共享是最重要的。Lancet也表示,发表在其上的关于新型冠状病毒的文章,全文全部公开可见,大家有兴趣的话可以阅读相关内容。
专题链接:
https://www.thelancet.com/coronavirus
感兴趣的伙伴可以去上面这个专题查看更多文章。
除了Lancet,JAMA、NEJM、Nature、Science等也都发表了新型冠状病毒相关的文章。
JAMA
https://jamanetwork.com/journals/jama/fullarticle/2759815
JAMA发表的是一篇观点:Coronavirus Infections—More Than Just the Common Cold(冠状病毒感染——不只是普通感冒)。介绍了新型冠状病毒,并将其与中东呼吸综合征、SARS相比较。
Science
https://www.sciencemag.org/news/2020/01/who-says-no-need-yet-declare-spread-novel-virus-international-emergency
Science发表了一篇新闻:WHO says no need—yet—to declare spread of novel virus is an international emergency (WHO表明——暂不将新型病毒列为全球性紧急情况)。
Nature
https://www.nature.com/articles/d41586-020-00209-y
这是一个视频,专门介绍新型冠状病毒。
https://www.nature.com/articles/d41586-020-00191-5
另一篇是采访在武汉的科学家的工作情况有没有受影响,主要的采访对象是武汉科技大学的科学家。
感兴趣的伙伴,可以进入相应链接查看全文。
扫码关注“医咖会”公众号,及时获取最新重磅研究!

