NEJM:美国首个新型冠状病毒感染患者的诊疗全过程
2020年1月31日,新英格兰医学杂志(NEJM)发布了一篇题为“First Case of 2019 Novel Coronavirus in the United States”的文章,介绍了美国首例确诊的新型冠状病毒(2019-nCoV)感染患者,描述了该病人的诊断、病情进展和诊疗过程,包括该患者在进展至肺炎时最初的轻度症状。
在治疗时,医生给予患者尚未获批的药物Remdesivir(瑞德西韦,吉利德在研药物)进行试验性治疗,患者病情迅速得到控制。据最新报道,吉利德正在配合中国卫生部门开展一项随机、对照试验,以确定使用Remdesivir治疗2019-nCoV感染者是否安全和有效。
原文链接:
https://www.nejm.org/doi/full/10.1056/NEJMoa2001191
2020年1月19日,一名35岁男子到华盛顿州斯诺霍米什县的一家诊所就诊,患者主诉咳嗽和自我感觉发热4天。
患者在诊所候诊室时已带上口罩,等待大约20分钟,被带到检查室接受病情评估。患者透露曾到武汉探望家人,于1月15日返回华盛顿。他表示从美国CDC看到有关新型肺炎的警报,由于其症状和旅行史,因此来就诊。
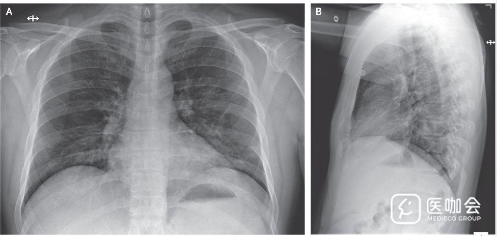
除了有高甘油三酯血症病史外,患者身体健康,且不吸烟。体格检查显示患者体温37.2°C,血压134/87mmHg,脉搏110次/分,呼吸频率16次/分,氧饱和度96%。肺部听诊显示干啰音,胸片无异常(图1)。
图1. 患者胸片
患者的甲型和乙型流感快速核酸扩增测试(NAAT)为阴性。采集鼻咽拭子标本,通过NAAT检测病毒性呼吸道病原体。48小时内获得结果,所有检测的病原体均显示阴性,包括甲型和乙型流感,副流感,呼吸道合胞病毒,鼻病毒,腺病毒,和已知会导致人患病的四种常见冠状病毒株(HKU1、NL63、229E、OC43)。
2020年1月31日,新英格兰医学杂志(NEJM)发布了一篇题为“First Case of 2019 Novel Coronavirus in the United States”的文章,介绍了美国首例确诊的新型冠状病毒(2019-nCoV)感染患者,描述了该病人的诊断、病情进展和诊疗过程,包括该患者在进展至肺炎时最初的轻度症状。
在治疗时,医生给予患者尚未获批的药物Remdesivir(瑞德西韦,吉利德在研药物)进行试验性治疗,患者病情迅速得到控制。据最新报道,吉利德正在配合中国卫生部门开展一项随机、对照试验,以确定使用Remdesivir治疗2019-nCoV感染者是否安全和有效。
原文链接:
https://www.nejm.org/doi/full/10.1056/NEJMoa2001191
2020年1月19日,一名35岁男子到华盛顿州斯诺霍米什县的一家诊所就诊,患者主诉咳嗽和自我感觉发热4天。
患者在诊所候诊室时已带上口罩,等待大约20分钟,被带到检查室接受病情评估。患者透露曾到武汉探望家人,于1月15日返回华盛顿。他表示从美国CDC看到有关新型肺炎的警报,由于其症状和旅行史,因此来就诊。
除了有高甘油三酯血症病史外,患者身体健康,且不吸烟。体格检查显示患者体温37.2°C,血压134/87mmHg,脉搏110次/分,呼吸频率16次/分,氧饱和度96%。肺部听诊显示干啰音,胸片无异常(图1)。
图1. 患者胸片
患者的甲型和乙型流感快速核酸扩增测试(NAAT)为阴性。采集鼻咽拭子标本,通过NAAT检测病毒性呼吸道病原体。48小时内获得结果,所有检测的病原体均显示阴性,包括甲型和乙型流感,副流感,呼吸道合胞病毒,鼻病毒,腺病毒,和已知会导致人患病的四种常见冠状病毒株(HKU1、NL63、229E、OC43)。
基于患者的武汉旅行史,立即通知当地和州卫生部门。华盛顿卫生部与急诊医生上报了CDC紧急行动中心。患者表示没有去过华南海鲜市场,也表示在中国旅行期间没有与患病者有过接触,CDC工作人员采集了患者的血清、鼻咽和口咽拭子样本,进行2019-nCoV检测。采集样本后,患者被进行家庭隔离,并由当地卫生部门进行监测。
2020年1月20日,CDC证实通过rRT-PCR分析,患者鼻咽和口咽拭子检测为2019-nCoV阳性。患者被送往普罗维登斯地区医疗中心进行临床观察。
入院时,患者报告持续咳嗽,并恶心和呕吐两天,但没有呼吸急促或胸痛。生命体征在正常范围内。体格检查发现患者粘膜干燥,其余检查无明显异常。入院后,患者接受支持治疗,包括生理盐水,以及昂丹司琼以缓解恶心。
住院的第2到5天(患者患病的第6-9天),患者生命体征基本保持稳定,除了出现间歇性发热和心动过速(图2)。
图2. 患者的症状和体温随着时间的进展情况
患者持续报告有咳嗽,并出现疲劳症状。在住院第二天的下午,患者出现一次腹泻,且腹部不适,晚上又出现一次稀便。收集粪便样本,以及鼻咽、口咽和血清进行rRT-PCR测试。粪便样本和两个呼吸道标本均检测为2019-nCoV阳性,但血清仍为阴性。
此期间患者的治疗基本为支持性治疗。对症治疗包括解热,每4小时650 mg对乙酰氨基酚和每6小时600 mg布洛芬。患者因持续咳嗽还服用了600mg愈创甘油醚。
患者住院第3天和第5天(即患病第7天和第9天)的实验室结果显示白细胞减少,轻度血小板减少和肌酸激酶升高(表1)。此外,肝功能指标也有所变化:住院第5天时,碱性磷酸酶、丙氨酸转氨酶、天冬氨酸转氨酶、乳酸脱氢酶均升高。
表1. 实验室检查结果
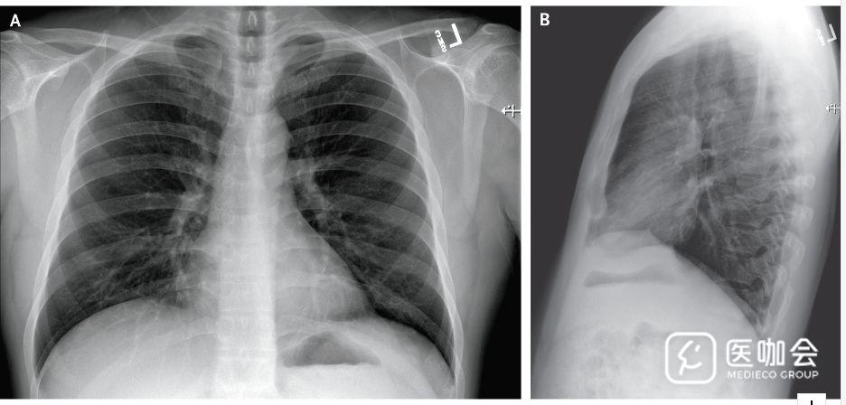
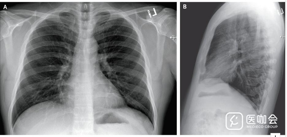
患者住院第3天(患病第7天)时,胸片仍未显示浸润或异常表现(图3)。但是,在住院第5天(患病第9天)晚上的胸片显示,左肺下叶有肺炎表现(图4)。
图3. 患者住院第3天(患病第7天)的胸片
图4. 患者住院第5天(患病第9天)的胸片
影像学表现与患者住院第5天晚上开始的呼吸状态变化相吻合,当时患者未吸氧状态下血氧饱和度为90%。住院第6天时,患者开始吸氧。鉴于患者临床表现的变化,考虑到还有可能是医院获得性肺炎,开始对患者使用万古霉素(1750mg负荷剂量,之后每8小时静脉给药1g)和头孢吡肟(每8小时静脉给药一次)。
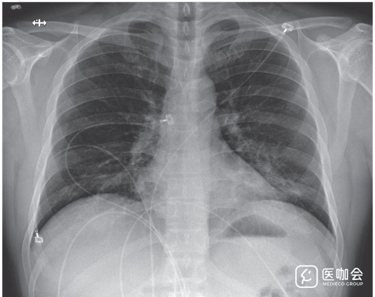
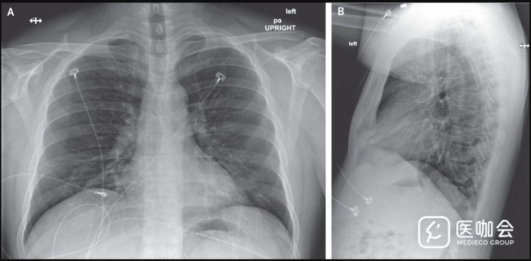
住院第6天(患病第10天),胸片显示两肺均有基底区条状阴影,与非典型肺炎相符(图5),且听诊时两肺均有啰音。
图5. 住院第6天(患病第10天)的胸片
患者持续高热,医生决定给予试验性抗病毒疗法。在住院第7天晚上开始静脉给予remdesivir(瑞德西韦,一种研发中尚未获批的新型核苷类似物),未观察到不良反应。当天晚上停用了万古霉素,并于第二天停用了头孢吡肟。
住院第8天(患病第12天),患者状况有所改善。患者停止吸氧,氧饱和度为94%到96%。双肺啰音已消失。患者食欲也得到改善,除了间歇性干咳和流涕外,无其他症状。
截止到2020年1月30日,患者仍在住院。患者已无发热,除咳嗽外,其他症状均已缓解,咳嗽程度也正在减轻。
表2. 患者检测新型冠状病毒RC-PCR的结果
更多阅读
吉利德在研药物Remdesivir正用于新型冠状病毒试验性治疗
来源:新京报;时间:2020-02-01
美国时间1月31日,吉利德科学全球首席医疗官Merdad Parsey博士代表公司发布声明,公司正与全球卫生机构密切合作,提供在研药物Remdesivir(瑞德西韦)用于试验性治疗,以支持应对新型冠状病毒(2019-nCoV)感染的暴发。
根据声明,吉利德与美国食药监局(FDA)、美国疾病控制和预防中心(CDC)、美国卫生和公共服务部(DHHS)、中国疾病预防控制中心、中国国家药品监督管理局(NMPA)、世界卫生组织(WHO)、美国国家过敏和传染病研究所(NIAID)等组织机构以及研究人员和临床医生一起,在抗病毒领域贡献其资源,帮助患者和各界共同抗击2019-nCoV。
Remdesivir(瑞德西韦)尚未在任何国家获得批准上市,其安全性和有效性也未被证实。Remdesivir(瑞德西韦)是在研药物,没有针对2019-nCoV的数据。在没有任何已获批的治疗方案的情况下,治疗医生权衡了风险和获益后提出用药请求,在当地监管机构的支持下,吉利德提供了试验性药物Remdesivir(瑞德西韦),用于少数2019-nCoV感染者的急症治疗。
目前,吉利德也正在配合中国卫生部门开展一项随机、对照试验,以确定使用Remdesivir(瑞德西韦)治疗2019-nCoV感染者是否安全和有效。吉利德也在推进使用2019-nCoV病毒样本对Remdesivir(瑞德西韦)进行适当的实验室测试。
吉利德表示,尽管目前没有抗病毒数据显示Remdesivir(瑞德西韦)对于2019-nCoV的活性,但其针对其他冠状病毒的有效数据为其带来了希望,在体外和动物模型中,Remdesivir(瑞德西韦)证实了对非典型性肺炎(SARS)和中东呼吸综合征(MERS)的病毒病原体均有活性,它们也属于冠状病毒,且与2019-nCoV在结构上非常相似。将Remdesivir(瑞德西韦)紧急用于治疗埃博拉病毒感染者的临床数据也有限。
扫码关注“医咖会”公众号,及时获取最新重磅研究!

