钟南山院士团队新发论文:1099例新冠病毒感染患者的临床特征
作者:Siyu, David
2020年2月9日, 钟南山院士团队在预印本平台MedRxiv在线发布研究论文“Clinical characteristics of 2019 novel coronavirus infection in China”,对1099例实验室确诊的新冠病毒所致急性呼吸道疾病(2019-nCoV ARD)患者的临床特征进行了分析。这是迄今为止研究新冠病毒感染患者临床表现的文章中样本量最大的一个。研究团队也在文中首次提出了“2019-nCoV ARD”这一术语。
文章要点一览
病例收集时间集中在1月份。大概三分之一曾到过武汉,大概三分之二曾接触过来自武汉的人,而极少数(1.18%)有野生动物接触史。
这些患者中,潜伏期最长的达到了24天,潜伏期中位时间为3天。
临床表现上,发热最为常见(87.9%),咳嗽次之(67.7%),半数患者在入院时胸部CT检查呈现典型毛玻璃样阴影。特别指出的是,约四分之一的重症患者在确诊时没有出现异常的胸部影像学特征。
重症肺炎占比15.7%,死亡患者占比为1.36%。多元风险竞争模型分析发现,重症病例与入住ICU、机械通气、死亡三者均独立相关。
该文再次肯定了新冠病毒的人际传播方式,并发现异常的胸部影像学特征在确诊病例中的非普遍性。疾病的严重程度,包括血氧饱和度、呼吸频率、血液白细胞/淋巴细胞数和胸片/CT表现,可预测不良临床结果。
研究设计:回顾性研究,大多数病例从1月1日后开始收集,至1月29日止。通过实验室检测确诊的病例才会被纳入分析。流行病学特征(包括近期接触史)、临床症状和体征及实验室检查结果从电子病历中抽取。
潜伏期:从接触传染源开始到出现症状的时间。
作者:Siyu, David
2020年2月9日, 钟南山院士团队在预印本平台MedRxiv在线发布研究论文“Clinical characteristics of 2019 novel coronavirus infection in China”,对1099例实验室确诊的新冠病毒所致急性呼吸道疾病(2019-nCoV ARD)患者的临床特征进行了分析。这是迄今为止研究新冠病毒感染患者临床表现的文章中样本量最大的一个。研究团队也在文中首次提出了“2019-nCoV ARD”这一术语。
文章要点一览
研究中的1099例患者来自31个省及直辖市的552家医院,41.9%是女性,年龄中位数为47岁(IQR, 35~58)。
病例收集时间集中在1月份。大概三分之一曾到过武汉,大概三分之二曾接触过来自武汉的人,而极少数(1.18%)有野生动物接触史。
这些患者中,潜伏期最长的达到了24天,潜伏期中位时间为3天。
临床表现上,发热最为常见(87.9%),咳嗽次之(67.7%),半数患者在入院时胸部CT检查呈现典型毛玻璃样阴影。特别指出的是,约四分之一的重症患者在确诊时没有出现异常的胸部影像学特征。
重症肺炎占比15.7%,死亡患者占比为1.36%。多元风险竞争模型分析发现,重症病例与入住ICU、机械通气、死亡三者均独立相关。
该文再次肯定了新冠病毒的人际传播方式,并发现异常的胸部影像学特征在确诊病例中的非普遍性。疾病的严重程度,包括血氧饱和度、呼吸频率、血液白细胞/淋巴细胞数和胸片/CT表现,可预测不良临床结果。
研究方法
研究设计:回顾性研究,大多数病例从1月1日后开始收集,至1月29日止。通过实验室检测确诊的病例才会被纳入分析。流行病学特征(包括近期接触史)、临床症状和体征及实验室检查结果从电子病历中抽取。
潜伏期:从接触传染源开始到出现症状的时间。
主要复合终点:重症监护病房(ICU)的入住,或机械通气,或死亡。
次要终点:死亡率,从出现症状到发生主要结局及其各组成部分的时间。
野生动物暴露:一个人与野生动物(蝙蝠、蛇、麝香猫等)有密切接触,或在出现呼吸道症状前两周内接触过野生动物零售商或出入过出售野生动物的市场。然而,定期去市场而不能回忆起暴露日期的病例,不被认为与野生动物有明确的接触。
肺炎:急性呼吸系统疾病,特征是咳嗽和至少一种新发的局灶性胸部体征,发热4天以上或呼吸困难/呼吸急促(与有肺部阴影的胸片表现一致)。
实验室检测:对鼻咽拭子样本的高通量测序或实时逆转录聚合酶链式反应扩增,由中国疾病预防控制中心、中国医学科学院、军事医学科学院、武汉病毒研究所共同完成。
统计方法:患者被分为重症与非重症两组。住院病例出现主要结局的风险和潜在的风险因素用 Fine-Gray竞争风险模型,以痊愈这一结局作为竞争风险来进行分析。Cox比例风险模型用于敏感性分析,潜在风险因素包括暴露史,年龄,影像学和实验室检查异常,以及并发症的发生。首先进行单因素模型分析,每次放入一个变量;有统计学意义的风险因素,性别和吸烟史被纳入到最终的模型中。
结果
患者人口统计学特征和临床特征
至2020年1月29日止,该项研究纳入了1324例患者,其中222例(16.8%)为疑似病例,故排除;有3例患者原始信息不全而被排除,最后本研究共报告了1099例患者的情况。他们来自31个省或者直辖市的552家医院。
表1展示了患者的人口学信息和临床特征。其中2.09%是医务工作者。有野生动物接触史、近期武汉旅行史、与来自武汉的人有接触史的患者比例分别为1.18%、31.30% 和71.80%。483例(43.95%)患者是武汉当地居民。武汉以外地区的患者26.0%最近没有去武汉旅行或与武汉的人有接触。潜伏期的中位时间为3天(范围为0-24天)。
患者的年龄中位数为47岁(IQR, 35~58),其中41.9%的患者为女性。最常见的症状是发热(87.9%)和咳嗽(67.7%);腹泻(3.7%)和呕吐(5.0%)很少见。25.2%的患者至少有一项基础疾病(即高血压、慢性阻塞性肺疾病)。
入院时,926例和173例患者被分到以下两组:非重症组和重症组。这两组之间患者年龄有明显差异(平均差异为7岁,95%CI, 4.4 to 9.6)。另外,与非重症组相比,重症组患者存在潜在疾病的情况更常见(38.2% vs. 22.5%, P<0.001)。但是两组之间的接触史情况没有明显差异(P>0.05)。
影像学和实验室特征
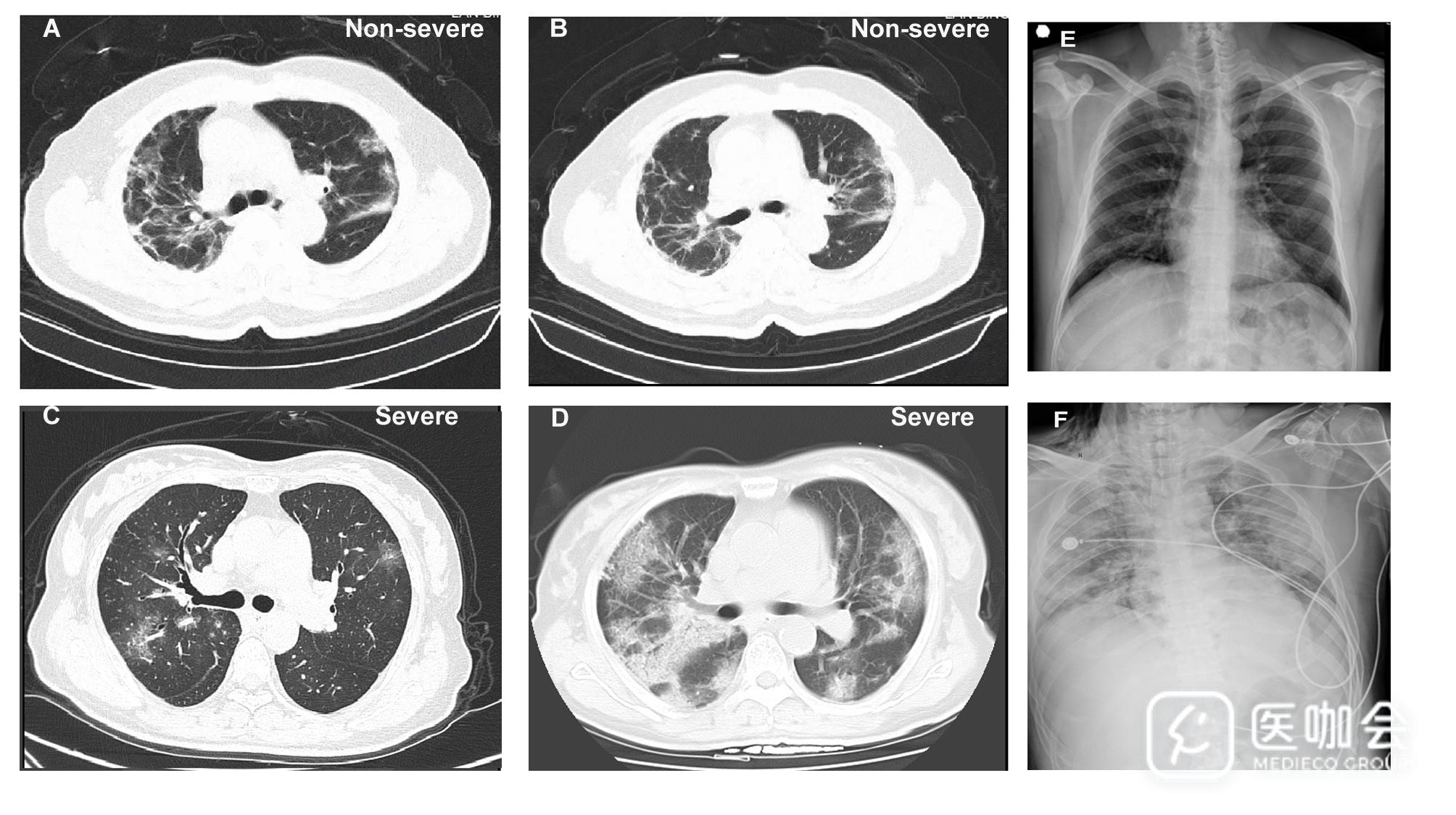
表2展示了入院时影像学和实验室检测的情况。840例患者入院时接受了胸部CT,76.4%的患者呈肺炎表现。在胸部CT中,最常见的类型是毛玻璃状阴影(50.0%)和双侧斑片状阴影(46.0%)。
图E1(下图)展现了2名非重症组患者和2名重症组患者的影像学信息。重症组926例中有221例,非重症组173例中有9例患者的影像学特征并不明显,这些患者是通过症状结合RT-PCR阳性结果来确诊的。比起非重症组患者,重症组病例更易展现出胸片和胸部CT结果的异常情况(所有P<0.05)。
图E1
入院时,82.1% 和36.2%的患者分别有淋巴细胞减少和血细胞减少的情况。总体来说,33.7%的患者白细胞减少。大多数患者的C-反应蛋白水平增高,但谷丙转氨酶、谷草转氨酶、肌酸激酶和D-二聚体增高的情况并不常见。与非重症病例相比,重症病例更易出现实验室检查结果异常(即,白细胞减少、淋巴细胞减少、血小板减少、C反应蛋白水平升高)(所有P<0.05)。
治疗和并发症
总体而言,氧疗、机械通气、静脉注射抗生素和奥司他韦四种治疗分别被给予了38.0%、6.1%、57.5% 和35.8%的患者。这些治疗在重症组中被采用的比例明显更高(所有P<0.05)。
与非重症组相比,重症组患者接受机械通气的比例显著较高(非侵入性机械通气: 32.37% vs. 0%, P<0.001; 侵入性机械通气: 13.87% vs. 0%, P<0.001)。相比非重症组,重症组患者接受系统性激素治疗的比例更高(44.5% vs 13.7%, p<0.001)。另外,重症组5例患者接受了ECMO,非重症组无患者接受ECMO(P<0.001)。
在住院期间,最常见的并发症是肺炎(79.1%),排名第二、三的并发症为急性呼吸窘迫综合征(3.37%) 和休克 (1.00%)。比起非重症组,重症组患者发生并发症的比例显著更高(94.8% vs. 72.2%, P<0.001)(表3)。
临床结局
患者入住ICU、接受侵入性机械通气、死亡的比例分别为5.00%, 2.18% 和1.36%。67例(6.10%)患者达到了本研究的复合终点(上表3)。
单因素竞争风险模型的结果在表E1(下表)中呈现。严重的肺炎(SDHR, 9.803; 95%CI, 4.06 to 23.67), 白细胞计数大于4000/mm3(SDHR, 4.01; 95%CI, 1.53 to 10.55) 和胸片显示肺间质异常 (SDHR, 4.31; 95%CI, 1.73 to 10.75) 与复合终点存在相关性(图2)。
图2
注:SDHR为次分布风险比,关于SDHR有一个参考链接:
https://dasanlin888.pixnet.net/blog/post/455926199-%E7%AB%B6%E7%88%AD%E9%A2%
A8%E9%9A%AA%E5%AD%98%E6%B4%BB%E5%88%86%E6%9E%90%E7%B0%A1%E4%
BB%8B%EF%BC%88competing-risk-survival-ana)
讨论
总结来说,这项研究发现和提出了几点新特征。
从传播途径来看,这项研究为病毒的人际传播模式提供了证据。患者中仅有约1%曾有野生动物的直接接触史。结合最新报告的家族聚集性爆发、无症状感染者、以及三阶段爆发模式(three-phase outbreak pattern),作者认为不排除“超级传播者”的可能。
虽然最长的潜伏期长达24天,但这1099例患者中大多数在3天左右出现症状,比1月底发表在NEJM上的425例患者的潜伏期要短一些(5.2天)(PMID: 31995857)。
从传播方式来看,2019-nCoV可能存在不同于SARS-CoV、MERS-CoV和高致病性流感的传播方式。除了飞沫传播和接触传播,污染物传播(fomite transmission)成为新的考虑方向。根据作者团队最新的试点试验,在62个粪便标本(6.5%)中,有4个2019-nCoV检测呈阳性。而在另一组直肠拭子检测呈阳性的患者中,有4个在胃肠道、唾液或尿液中检测到2019-nCoV。同时,一例出现2019-nCoV感染症状后有消化道严重溃疡的患者,在其食管糜烂出血部位直接检测到了2019-nCoV。综上所述,作者提示卫生防疫应考虑通过胃肠道分泌物的传播方式。
从临床表现来说,重症及非重症病例中分别有23.9%和5.2%在最初没有表现出胸部影像的异常。鉴于存在无明显影像学异常表现的确诊病例,以及20.9%的患者在发生肺炎之前或无肺炎时已分离出2019-nCoV,研究提出肺炎不是纳入临床表现所必须的,从而提出了“2019-nCoV ARD”这一术语,将无明显肺部影像学异常但实验室确诊的有症状病例纳入进来,并呼吁将重心转移到疾病进展前的早期发现和管理上。
另外,2019-nCoV感染的临床特征与SARS、MERS相似,但又有其不同的病毒趋向性(viral tropism)。2019-nCoV ARD患者中,只有43.8%在早期有发热表现,住院患者中发热占比为87.9%,这使得体温检测可能会漏掉一些不发热的病人。
病死率上,2019-nCoV与SARS-CoV和MERS-CoV相比较低(1.4%)。作者特别提到,早期隔离、早期诊断和早期处理可能是广东地区病死率相对更低(0.88%)的原因。
在临床结局方面,重症病例明显有更高的风险会进展至主要结局的发生(主要结局的定义参见研究方法部分)。研究也提出在实际工作中应综合考虑疾病的严重程度、实验室检查结果、胸部影像学检查结果。
最后,这项研究的不足之处,包括由于各地数据库的不同以及数据提取的仓促,造成了一些信息的不完整。由于许多患者仍在住院,该文没有比较28天时复合终点的发生率,而是采用了竞争风险模型进行分析以减少潜在偏倚。同时,由于有轻症患者在家隔离治疗,这篇文章的数据可能体现的是更为严重的临床结局。
意义
尽管在全球范围内迅速传播,但2019-nCoV ARD的临床特征仍不够清晰。鉴于2019-nCoV的迅速传播,扩大分析样本量,纳入包括武汉及武汉以外地区病例的最新分析迫在眉睫。
钟南山院士团队的该项研究帮助确定新冠肺炎的流行病学特点,为指导密切接触者的隔离期提供了来自更大样本量的证据,提出了新的传播方式的可能,为遏制新冠肺炎在全球范围内的扩散提供了建议。
同时研究也分析了临床特征,揭示了与不良结局相关的危险因素,为临床实践和疾病防控提供了参考。另外,该研究在附录材料中还附上了描述2019-nCoV与SARS-CoV、MERS-CoV病毒的不同临床特征的表格(下表),方便临床医生进行区分诊断。
文献链接:
https://www.medrxiv.org/content/10.1101/2020.02.06.20020974v1
扫码关注“医咖会”公众号,及时获取最新重磅研究!

