Lancet子刊:武汉81名 COVID-19肺炎患者的影像学结果分析
近日,Lancet子刊《Lancet Infectious Diseases》(柳叶刀—传染病)刊登了一篇文章,阐述了COVID-19肺炎患者疾病进展过程中不同时间点的CT表现。
原文链接: https://www.thelancet.com/journals/laninf/article/PIIS1473-3099(20)30086-4/fulltext
研究方法
回顾性分析武汉两所医院收治的covid19肺炎患者(经新一代测序或RT-PCR确诊),并进行了一系列胸部CT扫描。根据症状出现到首次CT扫描的时间间隔对患者进行分组:1组(亚临床患者,症状出现前扫描)、2组(症状出现后1周内扫描)、3组(症状出现后1- 2周扫描)、4组(症状出现后2 ~ 3周扫描)。分析并比较四组患者的影像学特征及其分布。
研究结果
基线特征
研究者对2019年12月20日至2020年1月23日在武汉金银潭医院(49例)和同济医学院协和医院(32例)的81例covid19肺炎患者进行了回顾性分析。从流行病学角度说,可将患者分为四类:31(38%)例患者有直接接触华南海鲜市场的暴露史;15(19%)例患者为医务人员,他们曾与确诊患者密切接触;7(9%)例患者为家庭聚集性病例;剩余28(35%)例患者没有任何明显的接触史。根据症状出现到第一次接受CT扫描的时间,对病人进行了分组:第一组包含15(19%)例患者(包括医护人员),第二组21(26%)例,第三组30(37%)例,第四组15(19%)例。
临床特征和实验室检查结果
下表汇总了各组患者的临床特征和实验室检查结果。在整个队列中,患者平均年龄为49.5岁(SD 11;范围为25-81),没有性别差异(男性为42 [52%],女性为39 [48%])。几组之间的年龄(p = 0.2778)或性别分布(p = 0.0871)没有显著差异。
近日,Lancet子刊《Lancet Infectious Diseases》(柳叶刀—传染病)刊登了一篇文章,阐述了COVID-19肺炎患者疾病进展过程中不同时间点的CT表现。
原文链接: https://www.thelancet.com/journals/laninf/article/PIIS1473-3099(20)30086-4/fulltext
研究方法
回顾性分析武汉两所医院收治的covid19肺炎患者(经新一代测序或RT-PCR确诊),并进行了一系列胸部CT扫描。根据症状出现到首次CT扫描的时间间隔对患者进行分组:1组(亚临床患者,症状出现前扫描)、2组(症状出现后1周内扫描)、3组(症状出现后1- 2周扫描)、4组(症状出现后2 ~ 3周扫描)。分析并比较四组患者的影像学特征及其分布。
研究结果
基线特征
研究者对2019年12月20日至2020年1月23日在武汉金银潭医院(49例)和同济医学院协和医院(32例)的81例covid19肺炎患者进行了回顾性分析。从流行病学角度说,可将患者分为四类:31(38%)例患者有直接接触华南海鲜市场的暴露史;15(19%)例患者为医务人员,他们曾与确诊患者密切接触;7(9%)例患者为家庭聚集性病例;剩余28(35%)例患者没有任何明显的接触史。根据症状出现到第一次接受CT扫描的时间,对病人进行了分组:第一组包含15(19%)例患者(包括医护人员),第二组21(26%)例,第三组30(37%)例,第四组15(19%)例。
临床特征和实验室检查结果
下表汇总了各组患者的临床特征和实验室检查结果。在整个队列中,患者平均年龄为49.5岁(SD 11;范围为25-81),没有性别差异(男性为42 [52%],女性为39 [48%])。几组之间的年龄(p = 0.2778)或性别分布(p = 0.0871)没有显著差异。
最常见的症状是发热(59 [73%]例患者)和干咳(48 [59%])。其他非特异性症状包括头晕(2 [2%]例),腹泻(3 [4%]),呕吐(4 [5%]),头痛(5 [6%])和全身无力(7 [9%])。在2-4组(有症状的患者)中,临床参数无显著差异。与其他三组患者相比,第一组患者的C反应蛋白(6.9 mg / L,p = 0.0051)和天冬氨酸转氨酶(30.2 U / L,p = 0.0026)的平均浓度明显较低。各组之间的其他实验室检查结果无显著差异,所有组中患者的基础疾病的患病率均相似。
表:入组患者的临床特征和实验室检查结果
CT表现
所有患者的CT影像学特征均显示异常。尽管所有肺段均可累及,但轻度好发于右下叶(所有患者中849个受影响段中有225个(27%)在右下叶)。所有组中的平均受累节段数为10.5(SD 6.4;范围1–18),第2–4组(有症状的患者)所受累的节段明显多于第1组(无症状患者; p <0.0001)。 第3组的平均受累节段数最多(13.0 [5.7];图1)。
图1 从症状发作的不同时间点观察到的受累肺节段数
64例[79%]患者双侧肺受累,44例[54%]显示为周边分布,而36例[44%]显示为CT异常弥散分布(图2)。胸部CT最常见毛玻璃样征(GGO)(53 [65%]例患者;图2A),还有边缘不明确(66 [81%]),小叶间隔平滑或不规则增厚(28 [35%]; 图2A),空气支气管征(38 [47%];图2A,D),碎石路征(crazypaving pattern)(8 [10%];图2B)和相邻胸膜增厚(26 [32%])。 较少见的CT表现为结节(5例[6%]),囊性变化(8例[10%];图2C),支气管扩张(9例[11%]),胸腔积液(4例[5%];图2D),和淋巴结肿大(5 [6%])。本研究病例中未观察到肿块,空化和钙化。
图2 入组患者的横向薄层CT扫描影像
临床前患者(第1组)的典型CT影像特征包括单侧(9例[60%])病变,多病灶(8例[53%])和毛玻璃混浊(14例[93%])。在这一组中很少观察到小叶间间隔增厚,相邻胸膜增厚,结节,圆形囊性变,支气管扩张,胸腔积液和淋巴结肿大。
在第二组中(症状发作后的第一周),病变迅速发展为双侧(19 [90%]例)并扩散(11 [52%]),但仍主要表现为毛玻璃样混浊(17 [81%])。而且在这一阶段还检测到了胸腔积液(1 [5%])和淋巴结肿大(3 [14%])。
在第3组(症状发作后的第二周),随着疾病的进展,CT的主要表现仍然是毛玻璃样混浊(17 [57%]);而在第3组中,毛玻璃样混浊仍然是主要的CT表现。但是,多种其他CT表现也同时出现(9[30%])。
在第4组(症状发作后第3周),主要的影像学特征是毛玻璃样混浊(5 [33%])和网状图案(5 [33%])(图3)。在此阶段还可以观察到相邻胸膜的支气管扩张(2[13%]),增厚(7[47%]),胸腔积液(2[13%])和淋巴结肿大(2[13%])。
图3 从症状发作的不同时间点观察到的不同类型肺部病变在CT上的分布
到2020年2月8日,已有62(77%)名患者出院,症状发作与出院之间的平均间隔为23.2天(SD 6;范围12-41)。16名(20%)患者仍在医院接受治疗,三名(4%)患者死亡(在入院后第12、14和30天,因ARDS而死亡)。
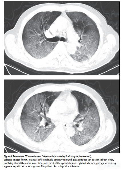
入院后第12天死亡的患者是一名60岁(患者1)合并慢性肺部疾病(结核病)的患者。症状发作后第8天的CT扫描显示,两个肺部都有广泛的毛玻璃样混浊,呈现为白色肺部外观(图4)。
第二例死亡的患者(患者2)是一名73岁的2型糖尿病患者,在症状发作后的第3、7和11天进行的CT扫描显示持续恶化。
入院后第30天死亡的患者(患者3)是一名77岁的男性,患有高血压,心血管疾病和脑血管疾病。该患者症状发作后第5天CT扫描显示轻度肺炎(图5A),但10天和15天后的两次随访CT扫描显示双侧胸腔积液肺部病变进展迅速(图5B,C)。
图4 患者1症状发作8天后的横向CT扫描影像
图5 患者3横向薄层连续CT扫描影像
随访的CT图像来自57例(70%)患者(武汉金银潭医院36例,协和医院21例)。 这些患者中有23位进行了两次CT扫描,19位进行了3次,15位进行了4次。
在这57例患者中,在所有CT扫描结果中观察到四种演变模式:最初就进展至峰值水平,其后影像学显示有所改善(1型),这种模式在26例(46%)患者中出现(图6),其中24例(92%)患者出院(住院中位时间为25天[IQR 20–27]); 影像学显示持续恶化(2型),包含18名患者(32%)(图5),其中2名(11%)患者死亡(患者2和3); 影像学显示逐步改善(3型),包含8名(14%)患者,其中5名(63%)出院(住院中位时间为19天[IQR 11-25]); 有5名(9%)患者的X线影像学表现没有变化(4型),他们在本研究的截止日期(2月8日)前仍在医院接受治疗。
图6 一名42岁女性的横向薄切片连续CT扫描影像(第一种演变模式)
结论
肺部CT扫描结果显示,COVID19肺炎患者的影像学表现往往为双侧,胸膜下,毛玻璃样混浊,并伴有空气支气管造影征,边界不清。即使在无症状的患者中也可能出现异常的肺部CT检查结果,并且在症状发作后1-3周内病变会迅速演变为弥漫性的毛玻璃样混浊为主或合并模式,并在发病后2周左右达到高峰。随访CT表明老年人,男性,有潜在合并症和影像学恶化可能是COVID19肺炎患者预后不良的危险因素。
扫码关注“医咖会”公众号,及时获取最新重磅研究

