病例:是Covid-19诱发了肺栓塞吗?
患者,女,75岁,Covid-19检测阳性,因严重的双侧肺炎住院,CT证实了双侧肺栓塞的存在,与肺实质大量磨玻璃样混浊有关。该病例发布在《European Heart Journal》上。
原文链接:
https://academic.oup.com/eurheartj/article/41/19/1858/5813284
该患者入院前发热10天,最近开始出现呼吸困难。患者血流动力学稳定,无诱发静脉血栓栓塞的强危险因素。
患者心电图正常。白细胞中度升高,C反应蛋白(180mg/L)、肌钙蛋白I(3240.4 ng/mL)、D-二聚体(21μg /mL)水平升高。吸氧时,动脉血气分析显示PaO2为78.0 mmHg, PaCO2为25.1 mmHg, SaO2为95.6%。
胸片显示右肺基底部明显浸润,超声心动图显示右心室扩张且运动减弱,平均肺动脉压为60mmHg。
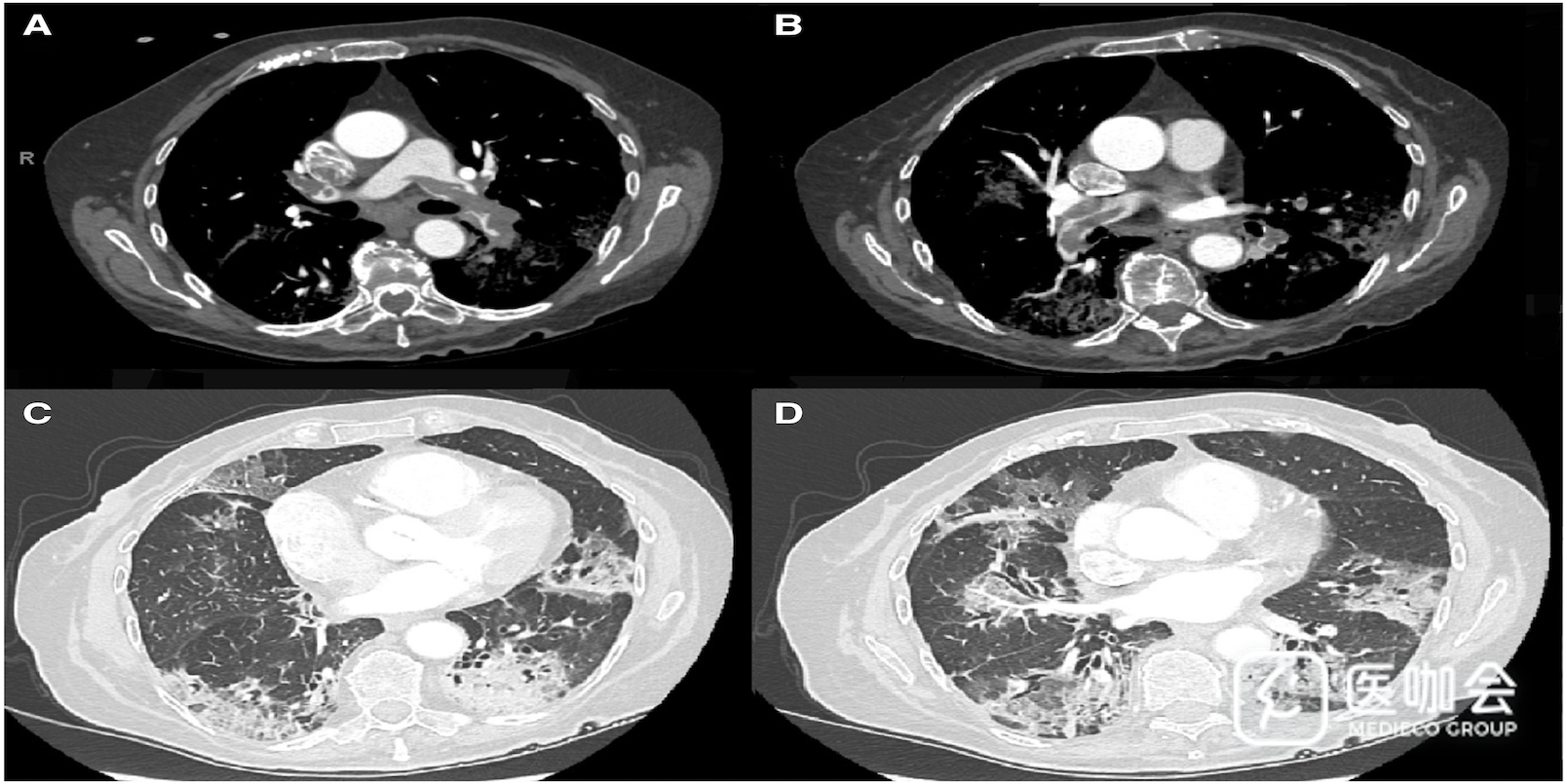
CT扫描发现双侧充盈缺损,诊断为肺栓塞(图1A和B),与累及双侧肺实质的广泛磨玻璃影有关,左肺下叶后基底段最为突出(图1C和D)。下肢加压超声检查呈阴性。
基于上述发现,开始用低分子肝素,洛匹那韦/利托那韦和羟氯喹进行治疗。
作者推测,对于这个具有弥漫性双侧肺炎的COVID-19患者,因为缺乏肺栓塞主要诱因,提示Covid-19严重感染可能是急性肺栓塞的诱发因素,或许存在因果关系。
患者,女,75岁,Covid-19检测阳性,因严重的双侧肺炎住院,CT证实了双侧肺栓塞的存在,与肺实质大量磨玻璃样混浊有关。该病例发布在《European Heart Journal》上。
原文链接:
https://academic.oup.com/eurheartj/article/41/19/1858/5813284
该患者入院前发热10天,最近开始出现呼吸困难。患者血流动力学稳定,无诱发静脉血栓栓塞的强危险因素。
患者心电图正常。白细胞中度升高,C反应蛋白(180mg/L)、肌钙蛋白I(3240.4 ng/mL)、D-二聚体(21μg /mL)水平升高。吸氧时,动脉血气分析显示PaO2为78.0 mmHg, PaCO2为25.1 mmHg, SaO2为95.6%。
胸片显示右肺基底部明显浸润,超声心动图显示右心室扩张且运动减弱,平均肺动脉压为60mmHg。
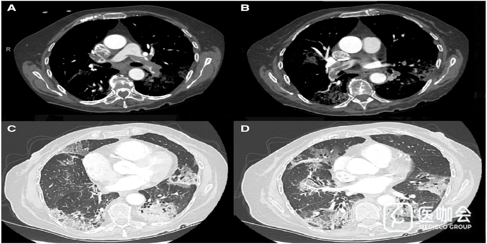
CT扫描发现双侧充盈缺损,诊断为肺栓塞(图1A和B),与累及双侧肺实质的广泛磨玻璃影有关,左肺下叶后基底段最为突出(图1C和D)。下肢加压超声检查呈阴性。
基于上述发现,开始用低分子肝素,洛匹那韦/利托那韦和羟氯喹进行治疗。
作者推测,对于这个具有弥漫性双侧肺炎的COVID-19患者,因为缺乏肺栓塞主要诱因,提示Covid-19严重感染可能是急性肺栓塞的诱发因素,或许存在因果关系。
扫码关注“医咖会”公众号,及时获取最新重磅研究

